Dentiste à Mandelieu - Dr Gilles LAVAT
Implants dentaires - Parodontologie - Dentisterie esthétique - Mandelieu 06210
Dentiste à Mandelieu - Dr Gilles LAVAT

143 Avenue Fréjus Paul Ricard Résidence Green Marina Bât B
06210 MANDELIEU

Implants dentaires - Parodontologie - Dentisterie esthétique - Mandelieu 06210

Blog - Page 13

Maxillaire complet et traitement implantaire pour un bridge fixe vissé

Maxillaire complet et traitement implantaire pour un bridge fixe vissé

Si vous passez vos vacances à l’étranger...

Si vous passez vos vacances à l’étranger...

Les concentrations en fluor des eaux minérales

Les concentrations en fluor des eaux minérales

Le syndrome d'apnées obstructives du sommeil (saos)

Le syndrome d'apnées obstructives du sommeil (saos)

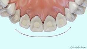
Fil de contention

Fil de contention

Conséquence de la perte des dents postérieures

Conséquence de la perte des dents postérieures

Affichage des articles 73-78 sur 219